Kính chào quý vị độc giả, tôi là Chuyên gia Vũ Văn Thắng, người sáng lập và đại diện chuyên môn của Thaphaco. Gãy xương là một trong những chấn thương phổ biến nhưng lại tiềm ẩn nhiều nguy hiểm nếu không được xử lý đúng cách. Tình trạng này không chỉ gây đau đớn dữ dội, mất khả năng vận động mà còn ảnh hưởng nghiêm trọng đến chất lượng cuộc sống lâu dài của người bệnh. Gãy xương có thể xuất phát từ nhiều nguyên nhân, từ những chấn thương mạnh do tai nạn, va đập trong sinh hoạt hàng ngày đến các bệnh lý làm suy yếu cấu trúc xương, khiến xương trở nên giòn và dễ gãy hơn. Việc hiểu rõ về gãy xương, các dấu hiệu nhận biết, phương pháp điều trị và đặc biệt là cách phục hồi hiệu quả bằng những giải pháp an toàn, nguyên chất là vô cùng quan trọng. Trong bài viết này, tôi sẽ cùng quý vị đi sâu tìm hiểu về tình trạng gãy xương và những hướng phục hồi tối ưu, đặc biệt là vai trò của dược liệu sạch từ Thaphaco.
Gãy Xương Là Gì? Phân Loại & Nguyên Nhân Chính
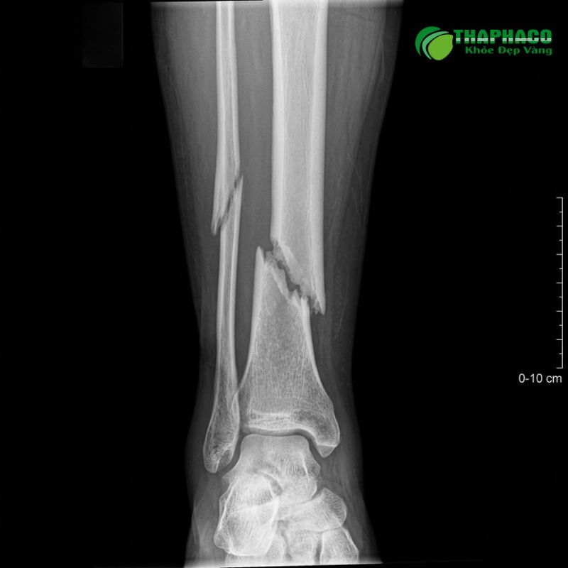
Gãy xương là tình trạng mất đi sự liên tục của xương, có thể do chấn thương hoặc bệnh lýy tế khi cấu trúc xương bị phá vỡ, mất đi tính toàn vẹn và liên tục. Điều này có thể xảy ra ở bất kỳ xương nào trong cơ thể, từ những xương nhỏ như ngón tay, ngón chân đến những xương lớn như xương đùi, xương cột sống.
- Phân loại theo mức độ tổn thương da:
- Gãy xương kín: Xương gãy nhưng da bên ngoài không bị rách, không có vết thương hở. Đây là loại gãy xương phổ biến hơn và ít nguy cơ nhiễm trùng hơn.
- Gãy xương hở: Xương gãy làm rách da và mô mềm bên ngoài, xương có thể lòi ra ngoài hoặc vết thương thông với ổ gãy. Loại này rất nguy hiểm vì nguy cơ nhiễm trùng cao và có thể gây biến chứng nghiêm trọng.
- Phân loại theo mức độ gãy:
- Gãy xương hoàn toàn: Xương bị gãy đứt lìa thành hai hoặc nhiều mảnh.
- Gãy xương không hoàn toàn (nứt xương): Xương chỉ bị nứt một phần, chưa đứt lìa hẳn. Đây thường là các vết nứt nhỏ, khó phát hiện hơn.
- Phân loại theo nguyên nhân:Gãy xương được phân loại theo nguyên nhân chính như sau:
- Gãy xương do chấn thương: Xảy ra khi xương chịu lực tác động mạnh (tai nạn giao thông, thể thao, ngã).
- Gãy xương do bệnh lý (tự phát): Xảy ra khi xương suy yếu do các bệnh tiềm ẩn (loãng xương, ung thư di căn xương, u xương, nhiễm trùng xương, cường cận giáp, sử dụng corticosteroid kéo dài).
- Gãy xương do mỏi (stress fracture): Gặp ở người luyện tập thể thao quá sức hoặc lặp lại động tác trong thời gian dài, gây nứt nhỏ li ti.
Việc xác định rõ nguyên nhân và loại gãy xương là bước đầu tiên và quan trọng nhất để các bác sĩ đưa ra phác đồ điều trị phù hợp, giúp xương phục hồi nhanh chóng và tránh được các biến chứng không mong muốn.

Dấu Hiệu Nhận Biết Gãy Xương Nhanh Chóng
Gãy xương thường biểu hiện qua các triệu chứng rõ ràng như đau dữ dội, sưng nề, biến dạng chi và hạn chế vận động. Việc nhận biết sớm giúp sơ cứu và điều trị kịp thời.
Khi một người bị gãy xương, cơ thể sẽ phản ứng bằng nhiều dấu hiệu và triệu chứng đặc trưng. Việc nhận biết sớm các dấu hiệu này là rất quan trọng để có thể sơ cứu đúng cách và đưa người bệnh đến cơ sở y tế kịp thời.
- Đau nhức dữ dội: Đây là triệu chứng đầu tiên và rõ ràng nhất. Cơn đau thường xuất hiện ngay lập tức sau chấn thương, tăng lên khi cử động hoặc chạm vào vùng bị thương. Mức độ đau có thể khác nhau tùy thuộc vào vị trí và mức độ gãy, nhưng thường rất khó chịu.
- Sưng nề và bầm tím: Do tổn thương các mạch máu nhỏ xung quanh vùng gãy, máu sẽ thoát ra ngoài mô mềm, gây sưng tấy và hình thành các vết bầm tím. Sưng có thể xuất hiện nhanh chóng hoặc vài giờ sau chấn thương, còn bầm tím có thể lan rộng và thay đổi màu sắc theo thời gian.
- Biến dạng chi: Vùng xương bị gãy có thể xuất hiện tình trạng biến dạng rõ rệt như cong vẹo, ngắn hơn hoặc dài hơn bình thường, lệch trục. Điều này đặc biệt dễ nhận thấy ở các chi như tay, chân.
- Mất chức năng vận động: Người bệnh sẽ rất khó khăn hoặc không thể cử động vùng chi bị gãy. Mọi nỗ lực cử động đều gây đau đớn dữ dội và có thể làm tình trạng gãy xương trở nên tồi tệ hơn.
- Nghe thấy tiếng ‘rắc’ hoặc ‘rộp’ khi chấn thương: Một số người bệnh có thể nghe thấy âm thanh này ngay tại thời điểm xương bị gãy. Đây là dấu hiệu của sự đứt gãy đột ngột của cấu trúc xương.
- Giảm hoặc mất cảm giác: Nếu gãy xương kèm theo tổn thương thần kinh, người bệnh có thể cảm thấy tê bì, kiến bò hoặc mất cảm giác hoàn toàn ở vùng dưới vị trí gãy.
- Thay đổi màu sắc da: Da ở vùng bị thương có thể trở nên xanh xao, tím tái hoặc lạnh hơn bình thường nếu có tổn thương mạch máu nghiêm trọng.
Khi nhận thấy bất kỳ dấu hiệu nào kể trên, đặc biệt là sau một chấn thương, cần ngay lập tức cố định vùng bị thương và đưa người bệnh đến bệnh viện để được thăm khám và chẩn đoán chính xác. Tuyệt đối không cố gắng nắn chỉnh xương tại nhà hoặc di chuyển người bệnh một cách thô bạo, vì điều này có thể gây thêm tổn thương.
Biến Chứng Nguy Hiểm Nếu Không Điều Trị Kịp Thời
Không điều trị gãy xương kịp thời có thể dẫn đến nhiều biến chứng nguy hiểm, từ sốc chấn thương, tổn thương mạch máu, thần kinh đến viêm xương tủy (viêm xương là gì), khớp giả, ảnh hưởng nghiêm trọng đến sức khỏe và chất lượng cuộc sống.
Gãy xương không chỉ gây đau đớn tức thời mà còn tiềm ẩn nhiều biến chứng nghiêm trọng nếu không được chẩn đoán và điều trị đúng cách, kịp thời. Các biến chứng này có thể chia thành cấp tính (xảy ra ngay sau chấn thương) và muộn (xảy ra sau một thời gian).
- Biến chứng cấp tính:
- Sốc chấn thương: Đặc biệt là trong các trường hợp gãy xương lớn (như xương đùi, xương chậu) hoặc gãy xương hở, người bệnh có thể mất một lượng máu lớn, dẫn đến sốc do mất máu. Sốc cũng có thể do đau đớn quá mức hoặc tổn thương các cơ quan nội tạng.
- Tổn thương mạch máu và thần kinh: Các mảnh xương gãy sắc nhọn có thể làm rách hoặc chèn ép các mạch máu lớn, gây chảy máu ồ ạt hoặc tắc nghẽn mạch máu, dẫn đến hoại tử chi. Tương tự, dây thần kinh bị tổn thương có thể gây mất cảm giác, liệt vận động vĩnh viễn ở vùng bị chi phối.
- Hội chứng chèn ép khoang: Xảy ra khi sưng nề quá mức trong một khoang cơ kín, làm tăng áp lực lên mạch máu và thần kinh, gây đau dữ dội, tê bì và có thể dẫn đến hoại tử cơ nếu không được giải phóng kịp thời.
- Nhiễm trùng: Đặc biệt nguy hiểm trong gãy xương hở, khi vi khuẩn từ môi trường bên ngoài xâm nhập vào ổ gãy, gây nhiễm trùng xương (viêm tủy xương), nhiễm trùng huyết, đe dọa tính mạng.
- Tắc mạch mỡ: Các giọt mỡ từ tủy xương có thể đi vào máu, gây tắc nghẽn mạch máu ở phổi, não, dẫn đến suy hô hấp, đột quỵ.
- Biến chứng muộn:
- Chậm liền xương hoặc không liền xương (khớp giả): Xương không lành lại trong thời gian dự kiến hoặc hoàn toàn không liền được, tạo thành một khớp giả, gây đau đớn mãn tính và mất chức năng vận động.
- Liền xương lệch: Xương lành lại nhưng ở vị trí không đúng giải phẫu, gây biến dạng chi, ảnh hưởng đến chức năng và thẩm mỹ.
- Viêm xương tủy mãn tính: Nhiễm trùng xương kéo dài, khó điều trị dứt điểm, gây đau đớn, chảy mủ và có thể tái phát nhiều lần.
- Cứng khớp: Do bất động lâu ngày hoặc tổn thương khớp kèm theo, các khớp gần vùng gãy có thể bị cứng, hạn chế vận động.
- Teo cơ: Do bất động và ít vận động, cơ bắp xung quanh vùng gãy có thể bị teo nhỏ, yếu đi.
- Loạn dưỡng phản xạ giao cảm: Một tình trạng đau mãn tính hiếm gặp, gây đau, sưng, thay đổi nhiệt độ và màu sắc da ở chi bị ảnh hưởng.
Những biến chứng này không chỉ gây đau đớn về thể chất mà còn ảnh hưởng nặng nề đến tâm lý và khả năng lao động của người bệnh. Do đó, việc tuân thủ phác đồ điều trị và phục hồi chức năng là hết sức cần thiết.

Quy Trình Chẩn Đoán & Phương Pháp Điều Trị Gãy Xương Hiện Nay
Chẩn đoán gãy xương dựa vào khám lâm sàng và các kỹ thuật hình ảnh như X-quang, CT, MRI. Điều trị bao gồm bó bột, nẹp hoặc phẫu thuật để cố định và giúp xương liền lại đúng cách.
Chẩn đoán và điều trị gãy xương đòi hỏi sự chính xác và kịp thời để đảm bảo xương lành lại đúng vị trí, phục hồi chức năng tối đa và tránh các biến chứng.
Quy trình chẩn đoán:
- Khám lâm sàng: Bác sĩ sẽ hỏi về cơ chế chấn thương, các triệu chứng và tiền sử bệnh. Sau đó, tiến hành khám thực thể để đánh giá mức độ sưng nề, bầm tím, biến dạng, đau khi sờ nắn, và kiểm tra chức năng mạch máu, thần kinh.
- Chụp X-quang: Đây là phương pháp chẩn đoán hình ảnh cơ bản và quan trọng nhất để xác định vị trí, loại hình gãy xương, mức độ di lệch của các mảnh xương. Thường chụp ít nhất hai tư thế vuông góc.
- Chụp cắt lớp vi tính (CT Scan): Được chỉ định khi cần đánh giá chi tiết hơn về cấu trúc gãy xương phức tạp, gãy xương ở khớp, hoặc khi nghi ngờ tổn thương xương nhỏ khó thấy trên X-quang (ví dụ: gãy xương cột sống, xương chậu).
- Chụp cộng hưởng từ (MRI): Hữu ích để đánh giá tổn thương mô mềm kèm theo (dây chằng, sụn, cơ), phát hiện gãy xương do mỏi (stress fracture) hoặc các tổn thương tủy xương.
- Xét nghiệm máu: Có thể được thực hiện để đánh giá tình trạng mất máu, chức năng đông máu hoặc tìm kiếm các nguyên nhân bệnh lý gây gãy xương (ví dụ: xét nghiệm loãng xương).
Phương pháp điều trị gãy xương: Mục tiêu chính của điều trị là nắn chỉnh xương về vị trí giải phẫu, cố định xương vững chắc để tạo điều kiện cho quá trình liền xương, và phục hồi chức năng vận động.
- Điều trị bảo tồn (không phẫu thuật): Áp dụng cho các trường hợp gãy xương không di lệch hoặc di lệch ít, có thể nắn chỉnh được và giữ vững.
- Bó bột: Sử dụng thạch cao hoặc vật liệu sợi thủy tinh để cố định xương, giữ cho xương không di lệch trong quá trình lành.
- Nẹp: Dùng nẹp gỗ, nẹp nhựa hoặc nẹp kim loại để cố định tạm thời hoặc cố định các gãy xương nhẹ.
- Kéo liên tục: Dùng hệ thống tạ và ròng rọc để kéo liên tục, nắn chỉnh và cố định xương, thường áp dụng cho gãy xương đùi.
- Điều trị phẫu thuật: Áp dụng cho các trường hợp gãy xương phức tạp, di lệch nhiều, gãy xương hở, gãy xương khớp, hoặc khi điều trị bảo tồn không hiệu quả.
- Kết hợp xương bên trong: Sử dụng các dụng cụ kim loại như đinh nội tủy, nẹp vít, dây thép để cố định các mảnh xương gãy từ bên trong cơ thể.
- Cố định ngoài: Sử dụng các thanh kim loại xuyên qua da và xương, nối với một khung cố định bên ngoài. Phương pháp này thường dùng cho gãy xương hở, gãy xương có tổn thương mô mềm nặng, hoặc khi cần cố định tạm thời.
- Thay khớp: Trong một số trường hợp gãy xương khớp nghiêm trọng, đặc biệt ở người cao tuổi (ví dụ: gãy cổ xương đùi), có thể cần thay thế một phần hoặc toàn bộ khớp.
Sau khi xương được cố định, quá trình phục hồi chức năng vật lý trị liệu là vô cùng quan trọng để giúp người bệnh lấy lại sức mạnh cơ bắp, biên độ vận động và khả năng sinh hoạt bình thường.

Phục Hồi Chức Năng Sau Gãy Xương: Vai Trò Của Dinh Dưỡng & Dược Liệu
Phục hồi sau gãy xương đòi hỏi sự kết hợp giữa vật lý trị liệu, chế độ dinh dưỡng hợp lý với canxi, vitamin D, protein và sự hỗ trợ của các dược liệu tự nhiên giúp giảm viêm, tăng cường tái tạo xương, đẩy nhanh quá trình lành.
Quá trình liền xương không chỉ phụ thuộc vào phương pháp điều trị mà còn chịu ảnh hưởng lớn từ chế độ chăm sóc, phục hồi chức năng. Để xương nhanh liền và lấy lại sức khỏe, việc bổ sung dinh dưỡng và tận dụng các dược liệu hỗ trợ là yếu tố then chốt.
- Để xương nhanh liền và phục hồi sức khỏe, dinh dưỡng đóng vai trò then chốt với các dưỡng chất sau:
- Canxi: Thành phần chính của xương. Nguồn: sữa, rau xanh đậm, cá hồi, cá mòi.
- Vitamin D: Giúp cơ thể hấp thụ Canxi. Nguồn: cá béo, lòng đỏ trứng, ánh nắng mặt trời.
- Protein: Cần thiết cho xây dựng mô xương và cơ. Nguồn: thịt nạc, cá, trứng, đậu, hạt.
- Vitamin C: Tham gia tổng hợp collagen, cấu trúc xương. Nguồn: cam quýt, ổi, kiwi, ớt chuông.
- Kẽm, Magie, Vitamin K: Quan trọng trong chuyển hóa và tái tạo xương.
- Vai trò của dược liệu tự nhiên:Bên cạnh dinh dưỡng, các dược liệu từ thiên nhiên đã được ông cha ta sử dụng từ ngàn đời nay để hỗ trợ quá trình phục hồi xương khớp. Với kinh nghiệm nhiều năm trong lĩnh vực dược liệu, tôi, Vũ Văn Thắng, nhận thấy rằng việc sử dụng các loại dược liệu sạch, nguyên chất có thể mang lại những lợi ích đáng kể:
- Giảm viêm, giảm đau: Nhiều dược liệu có hoạt chất chống viêm tự nhiên, giúp giảm sưng đau tại vùng gãy, tạo điều kiện thuận lợi cho quá trình lành.
- Tăng cường tuần hoàn máu: Cải thiện lưu thông máu đến vùng tổn thương, cung cấp oxy và dưỡng chất cần thiết cho tế bào xương.
- Kích thích tái tạo xương: Một số dược liệu chứa các hoạt chất có khả năng thúc đẩy quá trình hình thành xương mới, tăng cường liên kết collagen và canxi hóa.
- Bổ sung dưỡng chất: Một số cây thuốc không chỉ có tác dụng dược lý mà còn giàu vitamin, khoáng chất tự nhiên, góp phần vào dinh dưỡng tổng thể.
Các nhóm dược liệu thường được sử dụng trong y học cổ truyền để hỗ trợ liền xương bao gồm các cây thuốc có tính ấm, vị đắng, quy kinh can thận, có tác dụng hoạt huyết, bổ huyết, mạnh gân cốt. Ví dụ như Cốt Khí Củ, Cốt Toái Bổ, Đỗ Trọng, Dây Đau Xương… Tuy nhiên, điều quan trọng là phải sử dụng dược liệu có nguồn gốc rõ ràng, được chế biến đúng cách để đảm bảo hiệu quả và an toàn.
Tại Sao Nên Chọn Dược Liệu Hỗ Trợ Phục Hồi Xương Khớp Từ Thaphaco HCM?
🌿Tại Sao Nên Chọn Dược Liệu Hỗ Trợ Phục Hồi Xương Khớp Từ Thaphaco HCM?
Thaphaco cam kết cung cấp dược liệu sạch, nguyên chất, không pha trộn, được kiểm định nghiêm ngặt theo chuẩn quốc tế. Chúng tôi áp dụng công nghệ sấy lạnh/sấy thăng hoa để giữ trọn dược tính, mang đến giải pháp phục hồi an toàn và hiệu quả.
Trong hành trình tìm kiếm giải pháp phục hồi sức khỏe sau gãy xương, việc lựa chọn dược liệu chất lượng là yếu tố then chốt. Tại Thaphaco, chúng tôi tự hào mang đến những sản phẩm dược liệu hỗ trợ xương khớp với cam kết về chất lượng và sự tận tâm từ chuyên gia Vũ Văn Thắng.
- Dược liệu sạch, nguyên chất, không pha trộn: Đây là kim nam trong mọi hoạt động của Thaphaco. Chúng tôi hiểu rằng chỉ có dược liệu sạch mới mang lại hiệu quả thực sự và an toàn cho người sử dụng. Mỗi sản phẩm đều được kiểm tra kỹ lưỡng từ khâu nguyên liệu đầu vào, đảm bảo không lẫn tạp chất, không hóa chất độc hại, không chất bảo quản và không phẩm màu.
- Quy trình kiểm định nghiêm ngặt đạt chuẩn chất lượng quốc tế: Thaphaco không ngừng đầu tư vào công nghệ và quy trình sản xuất. Các sản phẩm của chúng tôi được sản xuất theo tiêu chuẩn ISO, HACCP, đảm bảo từng bước từ thu hái, sơ chế, chế biến đến đóng gói đều tuân thủ các quy định khắt khe nhất về vệ sinh an toàn thực phẩm và chất lượng dược liệu.
- Nguồn gốc rõ ràng, minh bạch: Chúng tôi cam kết truy xuất nguồn gốc của từng loại dược liệu, từ vùng trồng, phương pháp canh tác đến quá trình thu hoạch và bảo quản. Điều này giúp khách hàng hoàn toàn yên tâm về sự an toàn và tính hiệu quả của sản phẩm.
- Ứng dụng công nghệ sấy lạnh/sấy thăng hoa tiên tiến: Để giữ trọn vẹn dược tính quý giá của cây thuốc, Thaphaco HCM áp dụng các công nghệ sấy hiện đại như sấy lạnh và sấy thăng hoa. Các phương pháp này giúp loại bỏ độ ẩm mà không làm mất đi các hoạt chất sinh học, vitamin, khoáng chất và hương vị tự nhiên của dược liệu, đồng thời kéo dài thời gian bảo quản mà không cần đến chất bảo quản.
- Đội ngũ chuyên gia tư vấn tận tâm: Chuyên gia Vũ Văn Thắng cùng đội ngũ của Thaphaco luôn sẵn sàng lắng nghe, tư vấn và đồng hành cùng quý vị trong suốt quá trình phục hồi. Chúng tôi không chỉ cung cấp sản phẩm mà còn chia sẻ kiến thức, kinh nghiệm để quý vị có thể sử dụng dược liệu một cách hiệu quả và an toàn nhất.
Chọn Thaphaco là chọn sự an tâm, tin tưởng vào một giải pháp phục hồi xương khớp từ dược liệu thiên nhiên, sạch, nguyên chất và khoa học. Hãy để Thaphaco đồng hành cùng bạn trên con đường tìm lại sự vững chắc cho hệ xương khớp.

Lời Khuyên Từ Chuyên Gia Vũ Văn Thắng Để Phục Hồi Hiệu Quả
Chuyên gia Vũ Văn Thắng chia sẻ những lời khuyên thiết thực về dinh dưỡng, tập luyện, kiên trì điều trị và sử dụng dược liệu đúng cách để tối ưu hóa quá trình phục hồi sau gãy xương, đảm bảo an toàn và hiệu quả bền vững.
Thưa quý vị, với vai trò là một chuyên gia về dược liệu và sức khỏe, tôi, Vũ Văn Thắng, hiểu rằng quá trình phục hồi sau gãy xương là một hành trình đòi hỏi sự kiên trì, đúng phương pháp và một tinh thần lạc quan. Dưới đây là những lời khuyên chân thành mà tôi muốn gửi đến quý vị để tối ưu hóa quá trình phục hồi của mình:
- Tuân thủ nghiêm ngặt phác đồ điều trị của bác sĩ: Đây là nguyên tắc vàng. Dù bạn sử dụng bất kỳ phương pháp hỗ trợ nào, việc tuân thủ chỉ định của bác sĩ về cố định xương, uống thuốc giảm đau, kháng viêm là điều kiện tiên quyết để xương liền đúng vị trí và tránh biến chứng. Đừng tự ý tháo bỏ bó bột hay dừng thuốc khi chưa có chỉ định.
- Chế độ dinh dưỡng cân bằng, đủ chất: Như đã nói ở trên, dinh dưỡng đóng vai trò cốt lõi. Hãy đảm bảo bổ sung đủ canxi, vitamin D, protein, vitamin C và các khoáng chất khác. Ưu tiên thực phẩm tươi, sạch, hạn chế đồ ăn chế biến sẵn, đồ ngọt và chất kích thích.
- Tập luyện phục hồi chức năng đúng cách: Ngay khi được phép, hãy bắt đầu các bài tập vật lý trị liệu dưới sự hướng dẫn của chuyên gia. Từ các bài tập nhẹ nhàng tại chỗ đến các bài tập tăng cường sức mạnh và biên độ vận động. Tập luyện giúp ngăn ngừa cứng khớp, teo cơ và kích thích tuần hoàn máu, đẩy nhanh quá trình liền xương. Tuyệt đối không tập luyện quá sức hoặc sai kỹ thuật.
- Sử dụng dược liệu hỗ trợ đúng cách: Các sản phẩm dược liệu từ Thaphaco có thể là người bạn đồng hành tuyệt vời trong quá trình phục hồi. Tuy nhiên, điều quan trọng là phải sử dụng đúng loại, đúng liều lượng và có sự tư vấn.
- Hãy lựa chọn sản phẩm có nguồn gốc rõ ràng, được kiểm định chất lượng như các sản phẩm của Thaphaco HCM, nơi chúng tôi cam kết về độ sạch và nguyên chất.
- Có thể tham khảo các loại trà thảo mộc hoặc bột dược liệu hỗ trợ xương khớp của Thaphaco. Ví dụ, các loại dược liệu như Cốt Khí Củ, Cốt Toái Bổ có thể giúp giảm viêm, kích thích tái tạo xương.
- Nghỉ ngơi đầy đủ: Giấc ngủ chất lượng giúp cơ thể phục hồi năng lượng và tái tạo tế bào, rất quan trọng cho quá trình lành xương.
- Kiên trì và giữ tinh thần lạc quan: Phục hồi gãy xương là một quá trình dài. Đừng nản lòng trước những khó khăn ban đầu. Hãy giữ tinh thần tích cực, tin tưởng vào khả năng phục hồi của cơ thể và sự hỗ trợ từ đội ngũ y tế, cùng với các giải pháp từ Thaphaco.
⚠️Lưu ý quan trọng từ Thaphaco:
Mặc dù các dược liệu tự nhiên rất an toàn và hiệu quả, nhưng quý vị cần tham khảo ý kiến bác sĩ hoặc chuyên gia trước khi sử dụng, đặc biệt đối với các trường hợp: phụ nữ có thai hoặc đang cho con bú, người có tiền sử bệnh lý nền (huyết áp thấp, tiểu đường, tim mạch, bệnh gan thận), người đang dùng thuốc Tây y điều trị. Một số dược liệu có thể tương tác với thuốc hoặc không phù hợp với tình trạng sức khỏe cụ thể. Tại Thaphaco, chúng tôi luôn sẵn lòng tư vấn chi tiết để quý vị có thể lựa chọn sản phẩm phù hợp nhất, đảm bảo an toàn tối đa.
Gãy xương là một chấn thương nghiêm trọng nhưng hoàn toàn có thể phục hồi hiệu quả nếu được chẩn đoán, điều trị kịp thời và chăm sóc đúng cách. Bằng việc kết hợp y học hiện đại với chế độ dinh dưỡng khoa học và sự hỗ trợ từ các dược liệu sạch, nguyên chất, chúng ta có thể đẩy nhanh quá trình liền xương, giảm đau, phục hồi chức năng vận động và sớm trở lại cuộc sống bình thường. Với vai trò là Chuyên gia Vũ Văn Thắng và đại diện của Thaphaco, tôi cam kết mang đến cho quý vị những sản phẩm dược liệu chất lượng cao, được kiểm định nghiêm ngặt, áp dụng công nghệ sấy lạnh/sấy thăng hoa tiên tiến để giữ trọn vẹn dược tính, không chất bảo quản, không phẩm màu. Hãy để Thaphaco HCM đồng hành cùng bạn trên con đường phục hồi sức khỏe xương khớp. Khám phá ngay các sản phẩm của chúng tôi tại Thaphaco.com hoặc liên hệ để được tư vấn chuyên sâu từ đội ngũ của tôi. Sức khỏe của bạn là niềm hạnh phúc của chúng tôi!

